Uno strumento importante per ridurre al minimo gli effetti negativi dello svezzamento è la qualità delle diete pre-starter e starter. Strategie nutrizionali come l'aggiunta di aminoacidi funzionali alle diete, come l'acido glutammico e la glutammina, sono state utilizzate per ridurre la degenerazione intestinale post-svezzamento e promuovere un'adeguata performance di crescita.
Il presente studio mirava a valutare l'influenza dell'inclusione di L-glutammina insieme all'acido glutammico come integratore nelle diete dei suinetti svezzati con e senza siero di latte in polvere. Per questo sono state effettuate due prove, in cui sono stati utilizzati un totale di 40 suinetti svezzati a 24 giorni di età e sono stati analizzati i seguenti parametri: performance di crescita, incidenza di diarrea, morfometria, integrità intestinale e indice di glicogeno epatico. Gli animali sono stati poi divisi in 4 gruppi secondo diverse diete: dieta a base di cereali; dieta alimentare con siero di latte in polvere; e con vs senza integrazione dell'1% del prodotto commerciale con L-glutammina e acido glutammico. Gli animali sono stati valutati a 24-42 giorni ed a 24-55 giorni di età.

Come risultato, l'integrazione di L-glutammina + acido glutammico o l'aggiunta di siero di latte in polvere nelle diete per suinetti svezzati ha fornito una maggiore ingestione di mangime, un maggiore aumento di peso ed un migliore indice di conversione nel periodo iniziale (24-42 giorni di età). Tuttavia, nell'intero periodo (24-55 giorni di età) solo l'integrazione di aminoacidi ha influenzato le prestazioni di crescita.
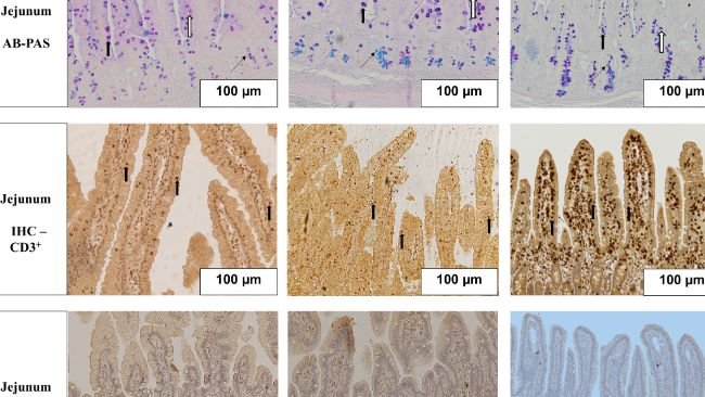
C'è stata un'interazione positiva tra il tipo di dieta e l'integrazione di L-glutammina + acido glutammico sull'altezza dei villi, sulla profondità delle cripte e sul rapporto villi:cripta nel duodeno. Inoltre, l'integrazione di L-glutammina + acido glutammico ha ridotto la profondità delle cripte e migliorato il rapporto villi:cripte nel digiuno. L'inclusione del siero di latte in polvere ha influito positivamente sui coefficienti di digeribilità analizzati ad eccezione dei coefficienti di digeribilità della materia minerale. L'integrazione dell'1% di prodotto commerciale composto da L-glutammina e acido glutammico ha solo migliorato il coefficiente di digeribilità della proteina grezza.
Questi risultati indicano che l'integrazione con aminoacidi da soli o associati al siero di latte in polvere influisce positivamente sugli indicatori dell'integrità intestinale.
Almeida JMDS, Pascoal LAF, de Almeida JLS, Guerra RR, da Silva JHV, da Silva DRP, Neto MRS, Martins TDD. Effects of dietary L-glutamine and glutamic acid combination, and whey powder on the performance and nutrient digestion in weaned piglets that received grain-based diets. Asian-Australasian Journal of Animal Sciences. 2021; 34(12): 1963-1973. https://doi.org/10.5713/ab.20.0613


